Զանգահարեք+374 10 600 022
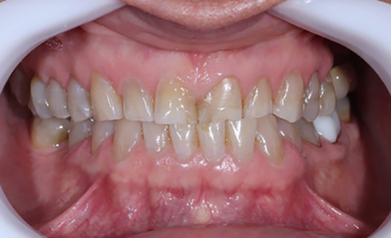
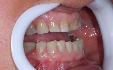
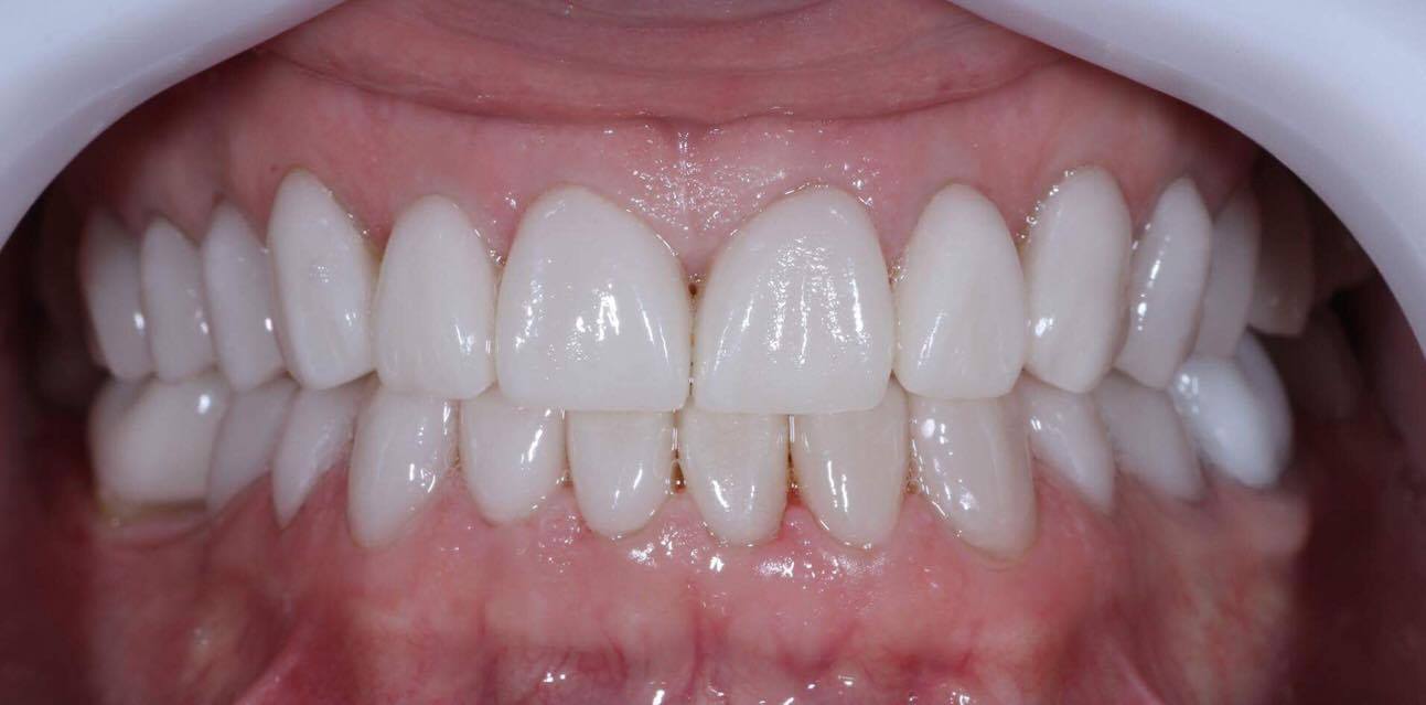
Իրականացվել է ատամնաշարի ամբողջական բարեկարգում՝ E-max պսակների և վինիրների միջոցով: