Զանգահարեք+374 10 600 022
Ցիրկոնային օքսիդի հիմքով կերամիկական պսակներ
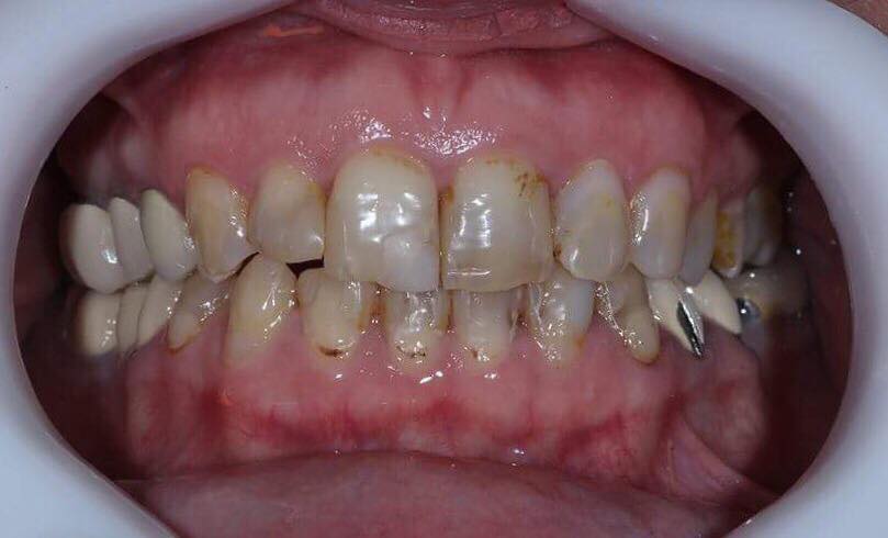
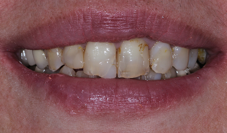
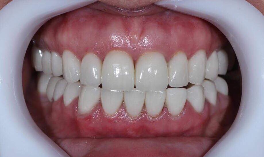
Ատամնաշարի ամբողջական վերականգնում՝ ցիրկոնային օքսիդի հիմքով կերամիկական պսակներով:
Զանգահարեք+374 10 600 022
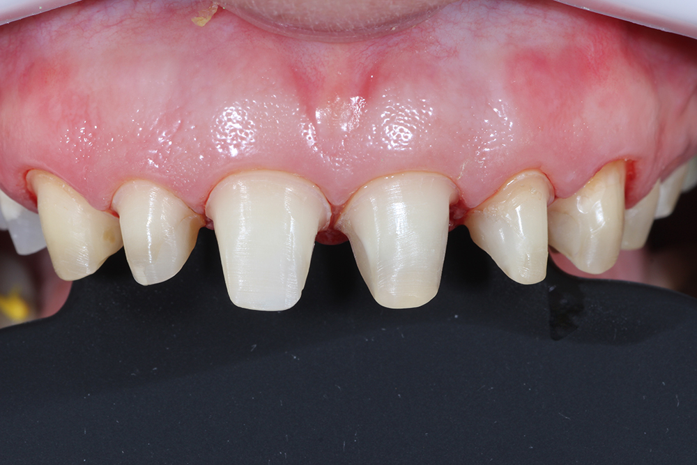
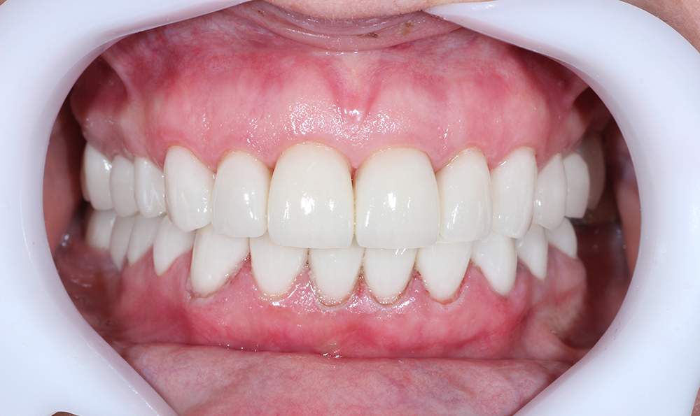
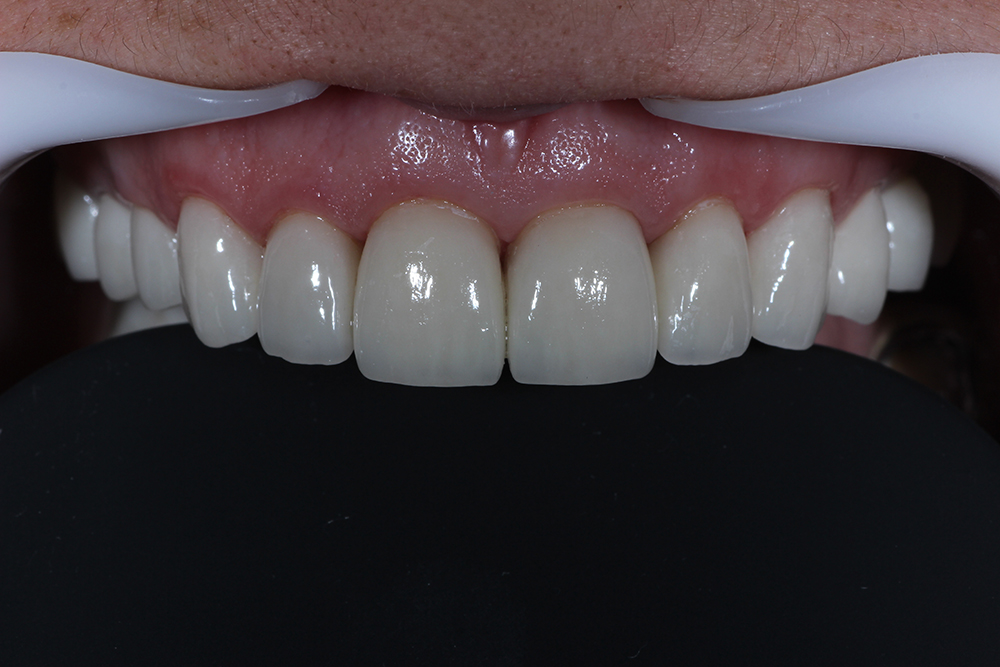
Ատամնաշարի ամբողջական վերականգնում՝ ցիրկոնային օքսիդի հիմքով կերամիկական պսակներով: