Զանգահարեք+374 10 600 022
Դիաստեմայի փակում վինիրներով
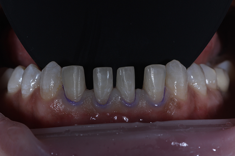
Միջատամնային ճեղքի փակման համար կիրառվել են վինիրներ, որոնց տեղադրումից առաջ ատամները ենթարկվել են մինիմալ տաշվածքի:
Զանգահարեք+374 10 600 022
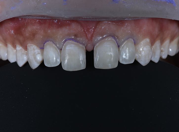
Միջատամնային ճեղքի փակման համար կիրառվել են վինիրներ, որոնց տեղադրումից առաջ ատամները ենթարկվել են մինիմալ տաշվածքի: