Our services
Dental tourism
About us
Our doctors
News
Useful info
Reviews
Portfolio
Contacts
En
Ру
Հայ
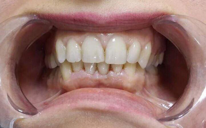
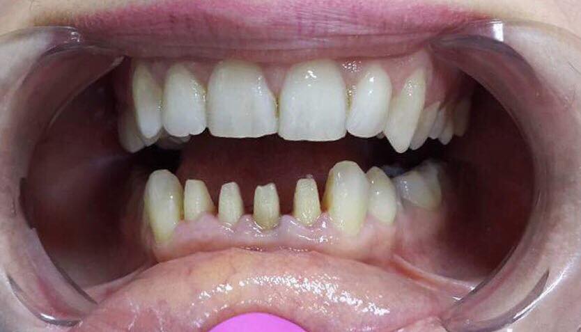
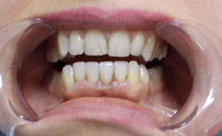
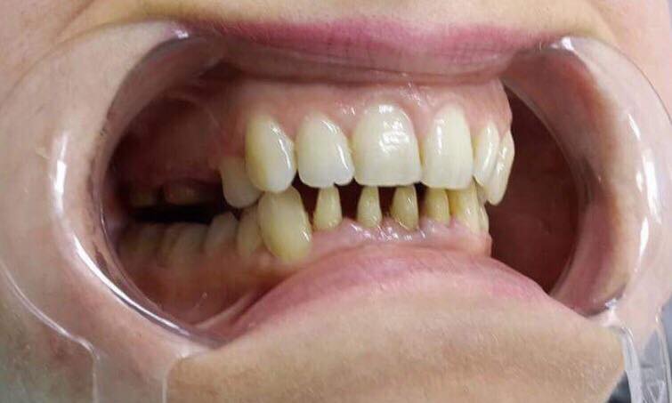
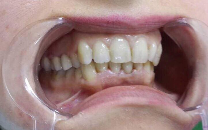
Restoration of teeth with crowns Emax
Call us:
+374 10 600 022
Restoration of teeth with crowns Emax
Restoration of the lower central incisors with Emax empress crowns.