Our services
Dental tourism
About us
Our doctors
News
Useful info
Reviews
Portfolio
Contacts
En
Ру
Հայ
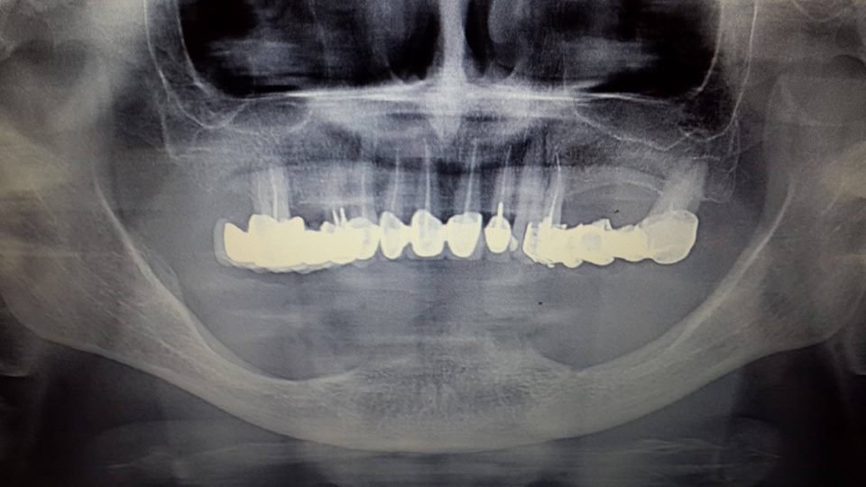
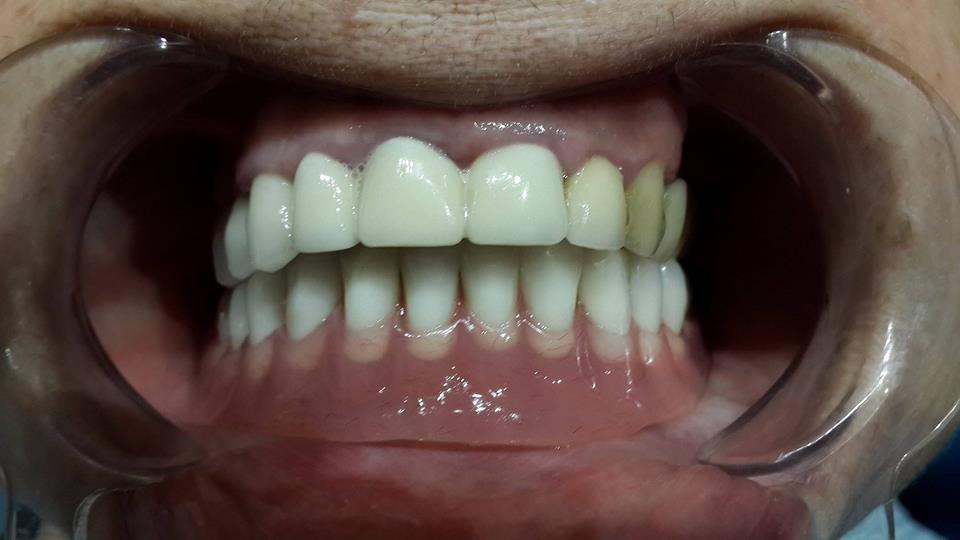
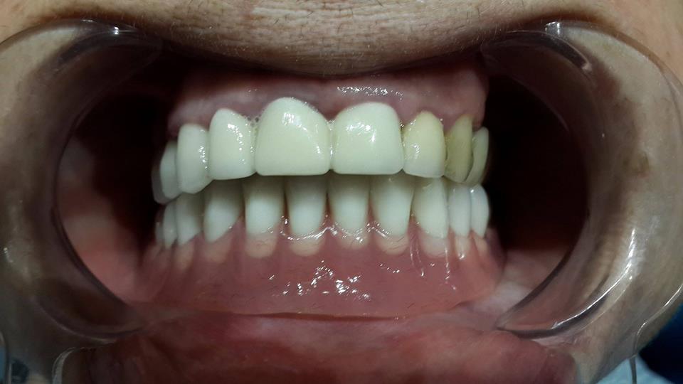
Prosthesis of the lower jaw on 4 implants
Call us:
+374 10 600 022
Prosthesis of the lower jaw on 4 implants
The patient was given a prosthetic lower jaw on 4 implants.
До имплантации