Full rehabilitation of the oral cavity

Call us:+374 10 600 022

Full rehabilitation of the oral cavity

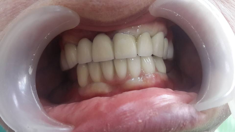
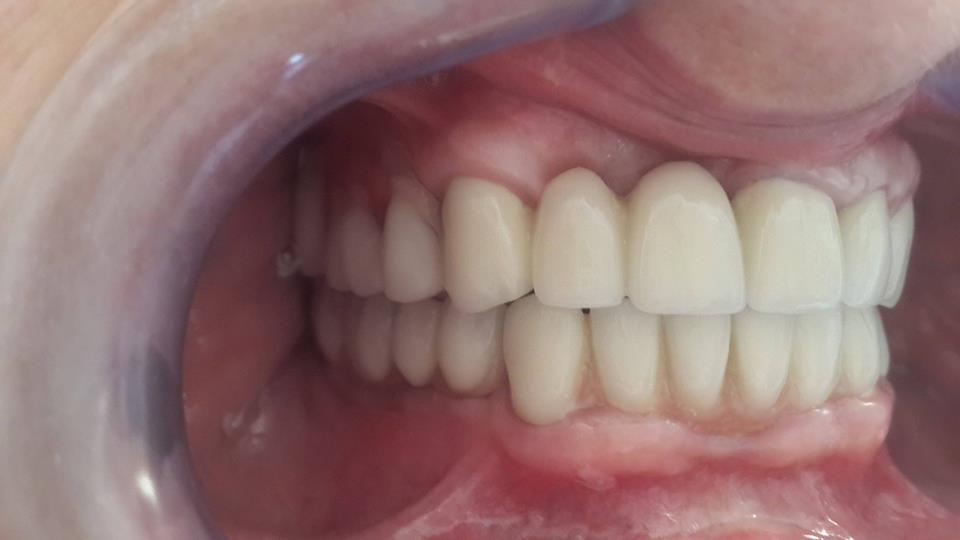
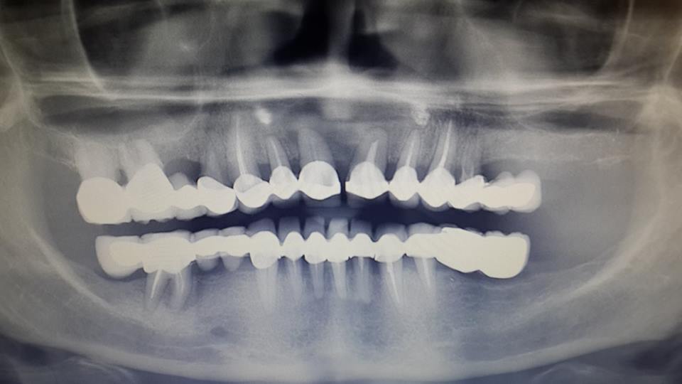
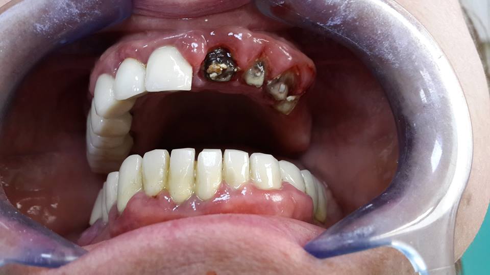
An example of complete rehabilitation of the oral cavity. Treatment included the removal of the old prosthesis, treatment of paradontitis, removal of a large cyst, implantation, clasp prosthesis.