Call us:+374 10 600 022
Cyst removal
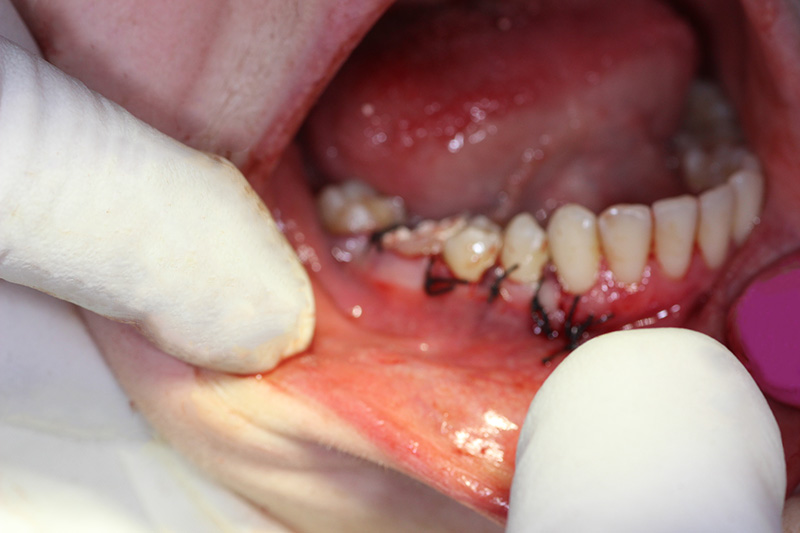
The patient underwent an operation of apicotomy (resection of the apex of the tooth root) and removed the cyst.
Call us:+374 10 600 022
The patient underwent an operation of apicotomy (resection of the apex of the tooth root) and removed the cyst.