Call us:+374 10 600 022
Ceramic crowns based on zirconium oxide
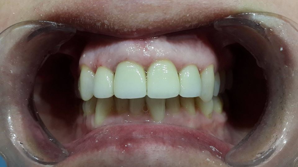
The patient made ceramic crowns based on zirconium oxide, which completely transformed her smile!
Call us:+374 10 600 022
The patient made ceramic crowns based on zirconium oxide, which completely transformed her smile!