Call us:+374 10 600 022
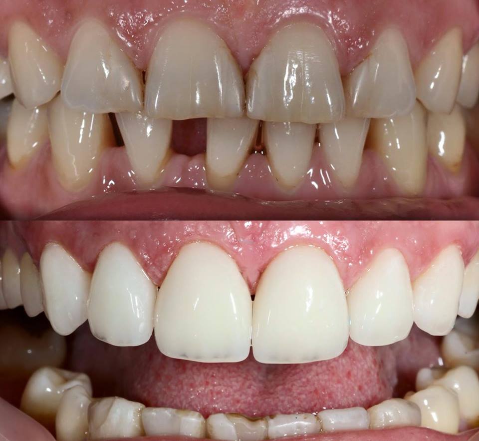
Cases with crowns and veneers E-max
The presented works are made with ceramic press crowns and E-max veneers.
Case 1. The patient received E-max crowns for 11, 12, 21, 22 teeth.
Case 2. The patient received E-max crowns.
Case 3. The patient received E-max crowns.
Case 4. The patient received E-max crowns for 11, 12, 21, 22 teeth.
Case 5. Restoration of anterior teeth with veneers E-max.