Call us:+374 10 600 022
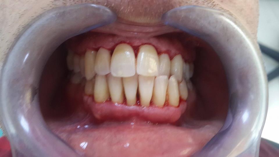
Aggressively developing parodontitis
The patient was diagnosed with aggressive periodontitis. For treatment, a diode laser was used. The photos show the operation, the condition of the gums in a week and two weeks later.
Call us:+374 10 600 022
The patient was diagnosed with aggressive periodontitis. For treatment, a diode laser was used. The photos show the operation, the condition of the gums in a week and two weeks later.