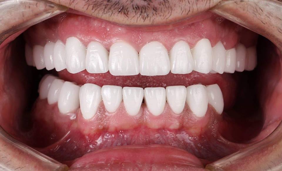
Полная реставрация зубного ряда металлокерамическими коронками

Звоните нам+374 10 600 022

Полная реставрация зубного ряда металлокерамическими коронками

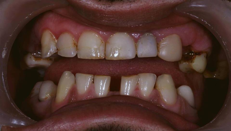
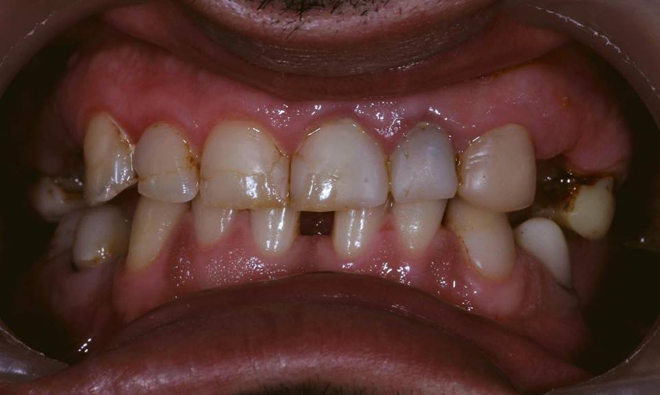
Пациент обратился к нам с просьбой создать ему красивую улыбку. Учитывая состояние зубного ряда и пожелания пациента, были использованы металлокерамические коронки. Также в левой стороне нижней челюсти были поставлены два имплантата.