Звоните нам+374 10 600 022
Пародонтальная операция
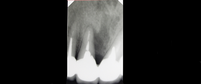
В медиальной области 11-го зуба пациентки была резорбция кости. Для лечения была проведена пародонтальная операция:
1.сглаживание поверхности корня;
2.добавление костной ткани;
3.установка мембраны.
Звоните нам+374 10 600 022
В медиальной области 11-го зуба пациентки была резорбция кости. Для лечения была проведена пародонтальная операция:
1.сглаживание поверхности корня;
2.добавление костной ткани;
3.установка мембраны.