Услуги
Стоматологический туризм
О Нас
Наши врачи
Новости
Полезная информация
Отзывы пациентов
Портфолио
Контакты
En
Ру
Հայ
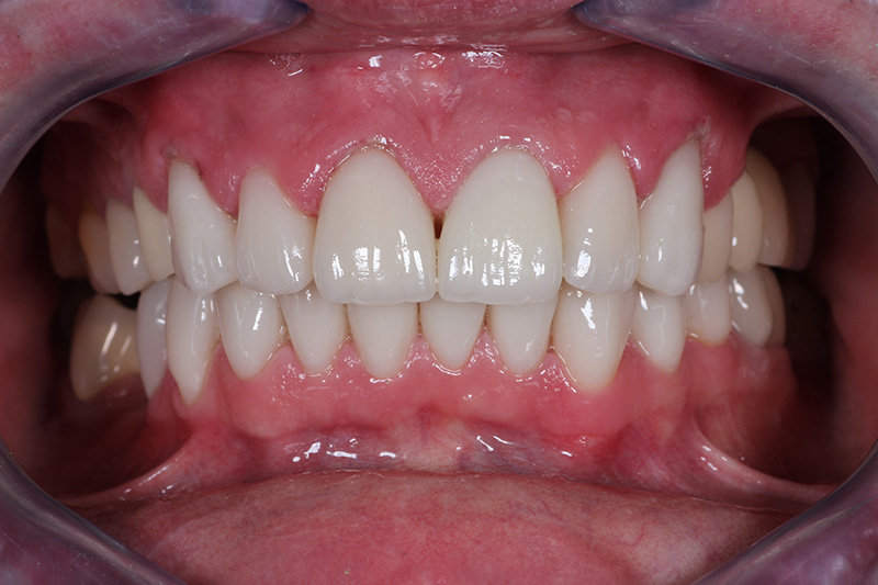
Виниры и коронки Emax
Звоните нам
+374 10 600 022
Виниры и коронки Emax
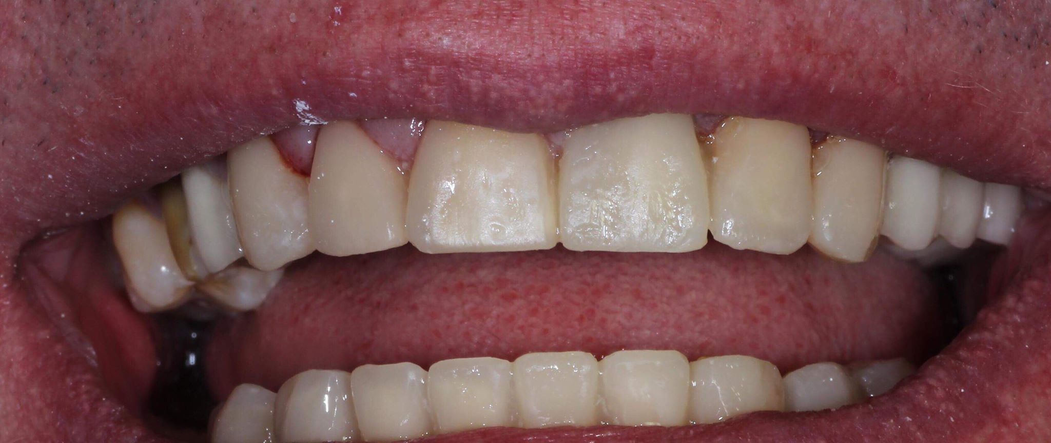
Полная реставрация зубного ряда, с применением коронок и виниров.
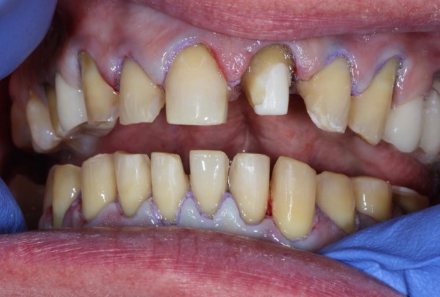
Mock up